发布时间:2026-01-15 10:01:50 浏览 次
作者:米日古丽·达毛拉,努尔阿米娜·肉孜,古丽米热·艾麦提,阿里木江·阿卜杜凯尤木,王洋,麦日耶木姑丽·艾山,马依迪丽·尼加提(通信作者)
单位:喀什地区第一人民医院 (新疆喀什 844000)
〔关键词〕多层螺旋;CT;3D;ResNet;网络;肺结核;肺炎;深度学习
〔中图分类号〕R563;R521 〔文献标识码〕B
〔文章编号〕1002-2376(2025)20-0013-05
基金项目:省部共建中亚高发病成因与防治国家重点实验室开放课题项目(青年(SKL-HIDCA-2022-KS2);国家自然科学基金(82360359);新疆维吾尔自治区重点研发计划厅地联动项目(2022B03032)
结核病是一种对人体危害极大的肺部变态反应性疾病 [1]。据统计,我国新疆喀什地区的肺结核发病率是全国平均水平的 4.3 倍 [2-3]。结核分枝杆菌涂片与培养为结核病的确诊标准,但其灵敏度较低 [4]。因此,开发新的结核病诊断技术至关重要。目前临床常用 CT 诊断肺结核,但诊断结果高度依赖医师的经验,在医疗资源匮乏的地区漏诊现象频发 [5]。近年来 AI 技术在医学成像中应用广泛。已有研究表明,利用 3D 卷积神经网络(3D convolutional neural network,3D-CNN)对活动性结核病鉴别准确率达 89.2%[6]。基于此,本研究应用 3D ResNet 网络自动化诊断系统简化结核病诊断流程,以提升早期结核病的检出率,减轻放射科的工作量,现报道如下。
1 资料与方法
1.1 一般资料
选取 2016 年 1 月至 2023 年 8 月我院收治的 735 例肺结核患者和 348 例肺炎患者, 以7 ∶ 2 ∶ 1 的比例在 3D VGG-16、3D EfficientNet 和3D ResNet-50 3 个不同的预训练深度学习模型上进行训练、验证和测试。另选取同期收治的 150 例肺结核患者和 130 例肺炎患者进行外部验证。885 例肺结核患者中男 492 例,女 393 例,平均年龄为(61.23±19.34)岁;478 例肺炎患者中男 165 例,女 313 例,平均年龄为(54.45±12.36)岁。本研究通过医院评审委员会认可 { 伦理审批号:[2023]快审研第(27)号 }。
肺结核纳入标准:年龄 18 ~ 65 岁;确诊为肺结核且未经抗结核药物治疗 [7-8]。排除标准:连续3 次痰涂片未见抗酸杆菌;胸部 X 线或 CT 检查示无典型结核病灶;无结核中毒症状;结核菌素纯蛋白衍生物试验阴性,可基本排除肺结核。肺炎纳入标准:有咳嗽、咳痰、发热、寒战、胸痛、呼吸困难症状,肺部听诊异常;影像学检查见新浸润影;白细胞、C 反应蛋白、降钙素原升高;痰液或血液培养出病原体;发病多在入院前 7 d 内 [8]。排除标准:合并肺栓塞、活动性肺结核、非感染性肺间质性疾病等其他肺部疾病;合并其他感染性疾病;合并免疫系统疾病或恶性肿瘤疾病;近期使用过免疫抑制剂或糖皮质激素;住院时间不足 1 周或预期生存期 < 48 h;1 周内接受过抗感染药物治疗。
1.2 方法
1.2.1 CT 扫描
使用 SOMATOM Definition AS 64 排螺旋 CT 扫描仪进行扫描,参数设置为:层厚、层间距均为 5 mm,薄层 0.625 mm,电压 120 kV,电流 180~ 240 mA。患者采用平躺姿势,双臂上举,对全肺进行扫描,重建层厚为 0.625 mm,并进行肺内和纵隔窗口的观察。
1.2.2 肺结核鉴别诊断模型的建立与比较
(1)图像预处理。原始 CT 图像数据在输入算法前转换为统一格式,并进行数据清理。调整窗宽和窗位数值均在 -1 200 ~ 600 HU 范围内,将图像强度归一化为 [0,1] 以规范 CT 图像。
(2) 肺野分割网格。采用 3D 嵌套 UNet,将全部 CT 资料标准化,形成 256×256×64 像素(pixel)的图像。由 2 名工作经验 5 年以上的影像医师独立评估预训练后的图像分割效果。3D 嵌套UNet 网络结构见图 1。

注:residual block 为残差块,dropout 为丢弃层,pooling 为池化层,conv block+batch normalization+activation 为卷积块 + 批量归一化 + 激活函数,conv block 3×3×3 为 3×3×3 卷积块,full connect为全连接层,down-sampling 为 下 采 样,up-sampling 为 上采样,skip connection 为跳跃连接。
图 1 3D 嵌套 UNet 网络结构
(3)3 种不同深度学习模型。为了完成分类任务并实现更好的分类性能,使用 3D ResNet-50(三维残差网络 -50)、3D VGG-16(三维 VGG-16 网络)和 3D EffificientNet(三维高效网络)的预训练深度学习模型。其网络结构见图 2。

注:3D ResNet-50 为三维残差网络 -50,conv block+bn+ activation 为卷积块 + 批量归一化 + 激活函数,max pooling 为最大池化,residual block 为残差块,average pooling 为平均池化,fc 为全连接层,conv block 为卷积块,3D VGG-16 为三维 VGG-16 网络,3D EfficientNet 为三维高效网络。
图 2 3 种预训练深度学习模型的网络结构
(4)人机诊断能力比较。肺结核的影像学特征包括树芽征、空洞、实变影等。肺炎在影像上常表现为实变、斑片状阴影等。AI 通过深度学习构建诊断模型,分析大量数据,实现快速准确诊断。由具有 10 年及以上阅片经验的高年资放射科医师进行胸部 CT 阅片并提供相应的影像诊断报告。
1.3 观察指标
(1)分析肺结核和肺炎的 CT 主要表现。(2)经过模型训练后,比较 3 个模型在训练、验证、测试和外部验证集中的性能。绘制受试者工作特征(receiver operating characteristic,ROC)曲线,以曲线下面积(area under the curve,AUC)、准确度作为模型评价指标。(3)以病原学检查为肺结核及肺炎诊断金标准,比较医师独立诊断和 AI 辅助诊断的效能,包括灵敏度、特异度、准确度。(4)比较医师独立诊断和 AI 辅助诊断的阅片时间。
1.4 统计学处理
采用 SPSS 25.0 统计软件进行数据分析。计量资料以 x ±s 表示,采用 t 检验。计数资料以率表示,采用 χ2 检验。P< 0.05 为差异有统计学意义。
2 结果
2.1 肺结核和肺炎的 CT 主要表现
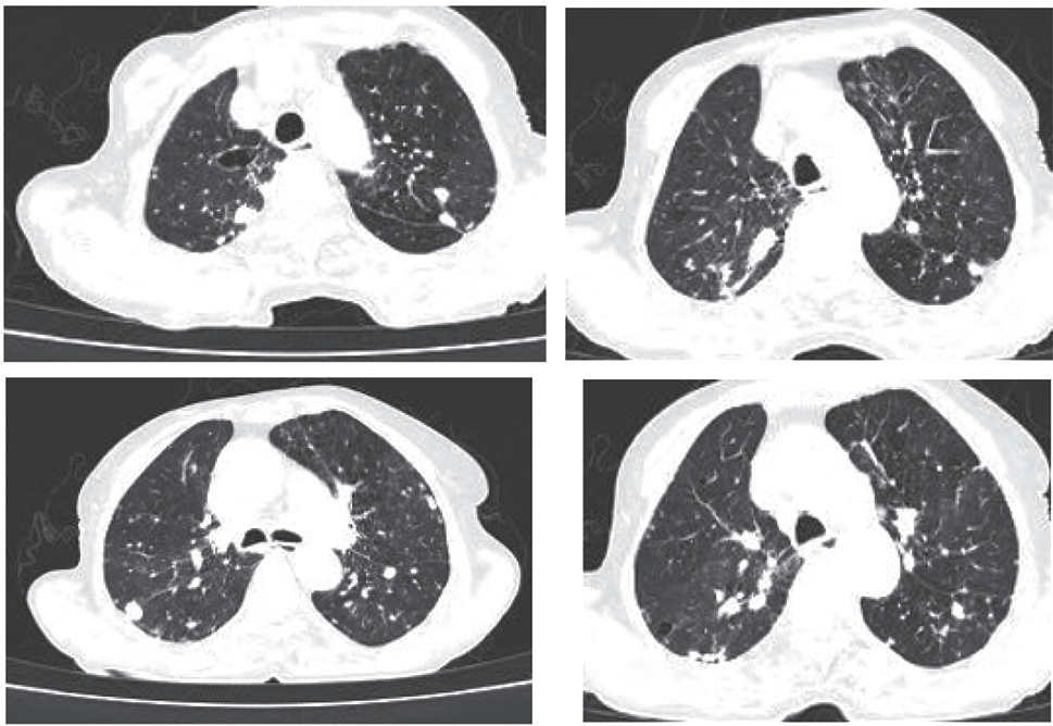
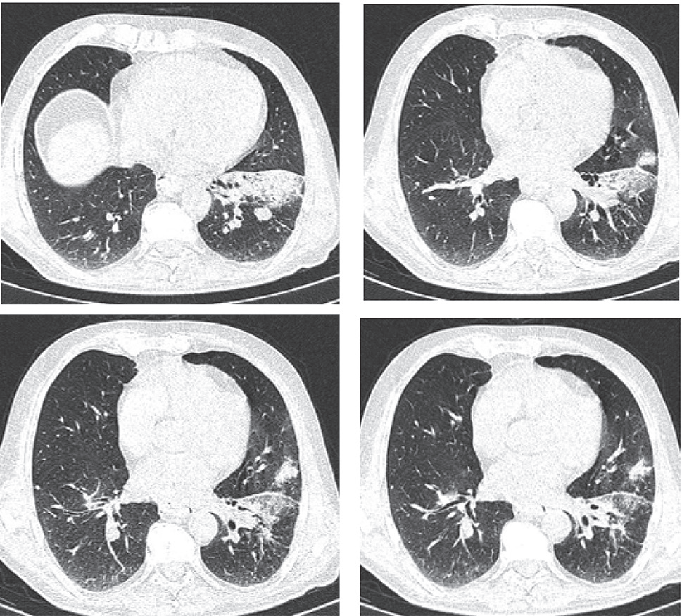
结核病好发部位为上叶尖段和下叶背段,其病变以结节影、斑片及小斑片样实变影为主 [9](图 3);肺炎患者 CT 影像显示新出现的斑片状浸润影、叶或段实变影、磨玻璃影或间质性改变 [10](图 4)。肺结核由结核杆菌引起,病理特征为结核结节、干酪样坏死等,早期炎症渗出与肺炎的肺泡内炎性渗出在影像学上难以区分。肺炎由细菌、病毒等感染所致,病理以肺泡实变为主,若病变范围小或不典型,也易与肺结核混淆。

注:患者男,60 岁,双肺上叶及下叶背段多发小结节影,右肺上叶后段斑片状致密影。
图 3 肺结核患者 CT 扫描图像

注:患者女,50 岁,左肺上叶舌段及下叶片状实变影,其内见支气管走形,左侧叶间胸膜增厚。
图 4 肺炎患者 CT 扫描图像
2.2 3 个预训练深度学习模型的性能分析
ROC 曲线显示,3D ResNet-50 模型在训练集、验证集、测试集和外部验证集中性能最佳,AUC和准确度均高于其他 2 个模型,见表 1、图 5。
表 1 3 种模型在训练集、验证集、测试集和外部验证集中的性能

注:AUC 为曲线下面积。

图 5 3 种模型的 ROC 曲线图
2.3 有无采用 AI 系统辅助诊断肺结核的效能比较
AI 系统辅助医师诊断肺结核的特异度、准确度均高于医师独立诊断(P< 0.05),见表 2、表 3。
表 2 有无采用 AI 系统辅助诊断肺结核的诊断结果(例)

表 3 有无采用 AI 系统辅助诊断肺结核的效能比较(%)

2.4 有无采用 AI 系统辅助情况下医师阅片时间比较
AI 系统辅助医师阅片时间为(13.97±4.3)s,短于无 AI 系统辅助下的(37.43±1.2)s(t = 4.786,P< 0.001)。
3 讨论
肺结核与肺炎在临床工作中有诸多相似之处,存在误诊情况。临床表现上,两者都可能出现发热、咳嗽、咳痰、乏力等症状。肺结核患者常有低热、盗汗、消瘦等慢性消耗症状,但早期症状不典型时,发热、咳嗽等表现与肺炎相似。肺炎患者发热多为高热,咳嗽、咳痰较重,但若病情迁延,症状也可能变得不典型。病理改变方面,两者都可导致肺部炎症,肺结核是结核杆菌感染引起,病理特征为结核结节、干酪样坏死等,但早期炎症渗出时与肺炎的肺泡内炎性渗出在影像学上难以区分。肺炎是细菌、病毒等感染所致,病理以肺泡实变为主,但若病变范围小、不典型,也易与肺结核混淆 [11]。
CUI 等 [12] 利用影像技术鉴别肺结核病与肺癌,但其局限性在于影像的提取耗时长、成像效果差。而本研究采用基于患者整体影像的深度学习模型,对整体影像进行自动化分析,显著提高了特征提取的效率和精度,充分发掘了 CT 影像中的有用信息,从而增强了对疾病的鉴别能力。本研究中,3 种模型训练结果显示最优模型为 3D ResNet-50,对肺结核与肺炎患者胸部 CT 图像的区分在内、外测试集均有较高的判别性。3D ResNet-50 网络具有稳定性好、可重复性好、自适应性强等优点,该模型充分利用了三维 CT 影像数据的空间信息,使模型能够捕捉到更为丰富和复杂的特征。
本研究结果显示,基于 3D ResNet-50 的 AI 系统辅助医师诊断肺结核的灵敏度、特异度和准确度均提升,且阅片时间短,大幅加快了诊断流程。提示 AI 系统的辅助不仅可以帮助提升放射科医师的诊断水平,也可以显著提高医疗工作者的工作效率,缩短患者等待时间,进而提高整体医疗服务水平。其原因在于,AI 算法能快速处理海量图像数据,精准识别微小病变特征,减少人为视觉疲劳导致的漏诊、误诊。同时,AI 可依据大数据分析提供多种诊断参考,帮助医师快速定位问题,节省大量时间用于复杂病例的深入分析,从而提升整体医疗效率和质量。
本研究仍存在一定局限性:首先,研究只选择非结核性肺炎作为对照组,其他胸部病变可能对模型的应用有潜在影响,如严重的肺间质融合、肺不张和肺水肿,这些病变也会有不同程度的斑片状阴影,因此,日后研究需要增加这些患者的影像数据集;其次,部分患者在抗生素治疗前未获得病因学结果,而抗生素的使用可能导致非结核性肺炎患者胸部 CT 表现的不典型改变,并影响模型的表现。
综上所述,3D ResNet-50 深度神经网络应用于肺结核辅助诊断,显著提高了诊断准确性,为临床诊断提供了有力支持,有望成为一种新型的肺结核辅助诊断工具,为从成像的角度识别此类患者提供了一种新的自动、快速的诊断方法。
【参考文献】
[1]高先锋,高山明,黄亚兰 . 非活动性肺结核和活动性肺结核的 CT 征象对复发、新发和慢性肺结核的鉴别诊断效果 [J]. 现代医用影像学,2020,29(10):1929-1931.
[2]卢春容,房宏霞,陆普选,等 .WHO 2021年全球结核病报告:全球与中国关键数据分析 [J]. 新发传染病电子杂志,2021,6(4):368-372.
[3]T USUN D, ABUL IMI T I M, M AMU T I X, et a l. The epidemiological characteristics of pulmonary tuberculosis-Kashgar Prefecture, Xinjiang Uygur Autonomous Region, China, 2011—2020[J]. China CDC Wkly, 2021, 3(26): 557-561.
[4]国家感染性疾病临床医学研究中心,深圳市第三人民医院,《中国防痨杂志》编辑委员会 . 肺结核活动性判断规范及临床应用专家共识 [J]. 中国防痨杂志,2020,42(4):301-307.
[5]MARTINI K, LOUBET A, BANKIER A, et al. Nodular reverse halo sign in active pulmonary tuberculosis: A rare CT feature?[J]. Diagn Interv Imaging, 2020, 101(5): 281-287.
[6]LI X, ZHOU Y, DU P, et al. A deep learning system that generates quantitative CT reports for diagnosing pulmonary Tuberculosis[J]. Applied Intelligence: 1-12.
[7]中华医学会结核病学分会.肺结核诊断和治疗指南 [J].中国实用乡村医生杂志,2013,20(2):7-11.
[8]周林 , 刘二勇 .“早诊断及规范治疗肺结核患者”是落实最新国家行业标准及技术规范的精髓 [J]. 中国防痨杂志,2020,42(9):894-895.
[9]国家卫生和计划生育委员会 . 肺结核诊断:WS 288—2017[EB/OL].(2017-11-9). http://www.nhc.gov.cn/wjw/s9491/201712/a452586fd21d4018b0ebc00b89c06254.shtml.
[10]中华医学会呼吸病学分会 . 中国成人社区获得性肺炎诊断和治疗指南(2016 年版)[J]. 中华结核和呼吸杂志,2016,39(4):253-279.
[11]KAMINSKY J, BIENERT-ZEIT A, HELLIGE M, et al. Comparison of image quality and in vivo appearance of the normal equine nasal cavities and paranasal sinuses in computed tomography and high field (3.0 T) magnetic resonance imaging[J]. BMC Vet Res, 2016, 12: 13.
[12]CUI E N, YU T, SHANG S J, et al. Radiomics model for distinguishing tuberculosis and lung cancer on computed tomography scans[J]. World J Clin Cases, 2020, 8(21): 5203-5212.
内容来源于《医疗装备》杂志,如需转载请注明出处。

欢迎关注《医疗装备》官方公众号