发布时间:2025-09-23 09:46:51 浏览 次
作者:谢人永(通信作者),王学飞
单位:南平市人民医院 (福建南平 353000)
〔关键词〕腰椎间盘突出症;微创消融术;MRI;征象;疗效
〔中图分类号〕R681.53 〔文献标识码〕B
〔文章编号〕1002-2376(2025)13-0001-04
腰椎间盘突出症(lumbar disc herniation,LDH)是一种常见的脊柱疾病,其特征是腰椎间盘髓核组织脱出或突出于椎管内或后方,刺激或压迫相邻脊神经,导致腰部疼痛,下肢疼痛、麻木等症状 [1]。微创消融术通过射频消融技术处理突出的椎间盘组织,达到减轻或解除对神经压迫的目的,具有安全性高、创伤小、恢复快等特点,是目前临床治疗LDH 的常用微创手术方法 [2]。但微创消融术后患者仍有复发可能,因此需准确观察术后患者的腰椎情况并及时采取预防措施,以降低复发风险 [3]。MRI图像可呈现 LDH 患者椎间盘及其周围结构,有助于临床医师诊断、预后评估、及时发现并发症,以便尽早采取干预措施 [4]。目前,LDH 患者微创消融术后 MRI 征象变化与其术后疗效关系的研究较少。基于此,本研究旨在探讨 LDH 患者微创消融术后MRI 征象变化与其术后疗效关系,分析 MRI 征象变化对微创消融术疗效的预测价值。
1 资料与方法
1.1 一般资料
选取 2022 年 1 月至 2024 年 12 月于医院行椎间盘微创消融术治疗的 82 例 LDH 患者为研究对象,根据术后日本骨科协会下腰痛评分系统(Japanese Orthopaedic Association,JOA)评分改善率及术后复发情况分为预后良好组(65 例,JOA 评分改善率≥ 50%)与预后不佳组(17 例,JOA 评分改善率 < 50% 或复发)。两组一般资料比较,差异无统计学意义(P> 0.05),具有可比性,见表 1。患者及家属均知情且签署同意书。本研究经南平市人民医院伦理委员会批准(伦理审批号:2021RM045)。
表 1 两组一般资料比较
表01
预后评价标准 [5-7]:以术前及术后 3 个月的 JOA评分改善率及术后复发情况作为预后评价指标,JOA 评分改善率 =(术前评分 × 术后评分)/29×术前评分 ×100%,JOA 评分改善率≥ 50% 为预后良好;JOA 评分改善率 < 50% 或复发为预后不佳。
纳入标准:符合 LDH 诊断标准 [8];均接受微创消融术治疗;患者均接受常规 MRI 检查。排除标准:患有脊柱肿瘤或结核;存在严重感染或传染性疾病;哺乳期、妊娠期女性;患有精神疾病。
1.2 方法
所有患者于术前及术后 3 个月接受 GE 1.5T Singn HDi MRI 扫描检查。嘱患者取仰卧位,进行T1WI、T2WI(矢状位、轴位)序列扫描。T1WI 参数:重复时间(repetition time,TR)为 400 ms,回波时间(echo time,TE)为 14 ms。T2WI 参数:TR为 2 500 ~ 3 101 ms、TE 为 105.6 ~ 123.0 ms。T1WI和 T2WI 序列扫描层间距均为 0.50 ~ 1.25 mm,层厚均为 3 ~ 4 mm。
由 2 名具有 5 年以上脊柱影像诊断经验的放射科医师分析图像中患者的侧隐窝间隙、椎管狭窄情况,其中椎管径 > 1.2 cm 为正常;侧隐窝间隙径 < 0.5 cm 为狭窄。
1.3 观察指标
(1)比较 LDH 患者手术前后腰椎功能及 MRI影像学特征变化。(2)比较两组 MRI 征象,包括侧隐窝间隙和椎管径。(3)分析术后侧隐窝间隙、椎管径与术后 JOA 评分的相关性。(4)分析术后MRI 征象对微创消融术疗效的预测价值。
1.4 统计学处理
采用 SPSS 26.0 统计软件处理数据。计数资料以率表示,采用 χ2 检验。计量资料以 x ±s 表示,采用 t 检验。采用 Pearson 相关系数分析患者术后MRI 征象(侧隐窝间隙、椎管径)与 JOA 评分的相关性。绘制受试者工作特征(receiver operating characteristic,ROC)曲线,计算曲线下面积(area under the curve,AUC)分析术后 MRI 征象对微创消融术疗效的预测价值。P< 0.05 为差异有统计学意义。
2 结果
2.1 LDH 患者手术前后腰椎功能及 MRI 影像学特征变化
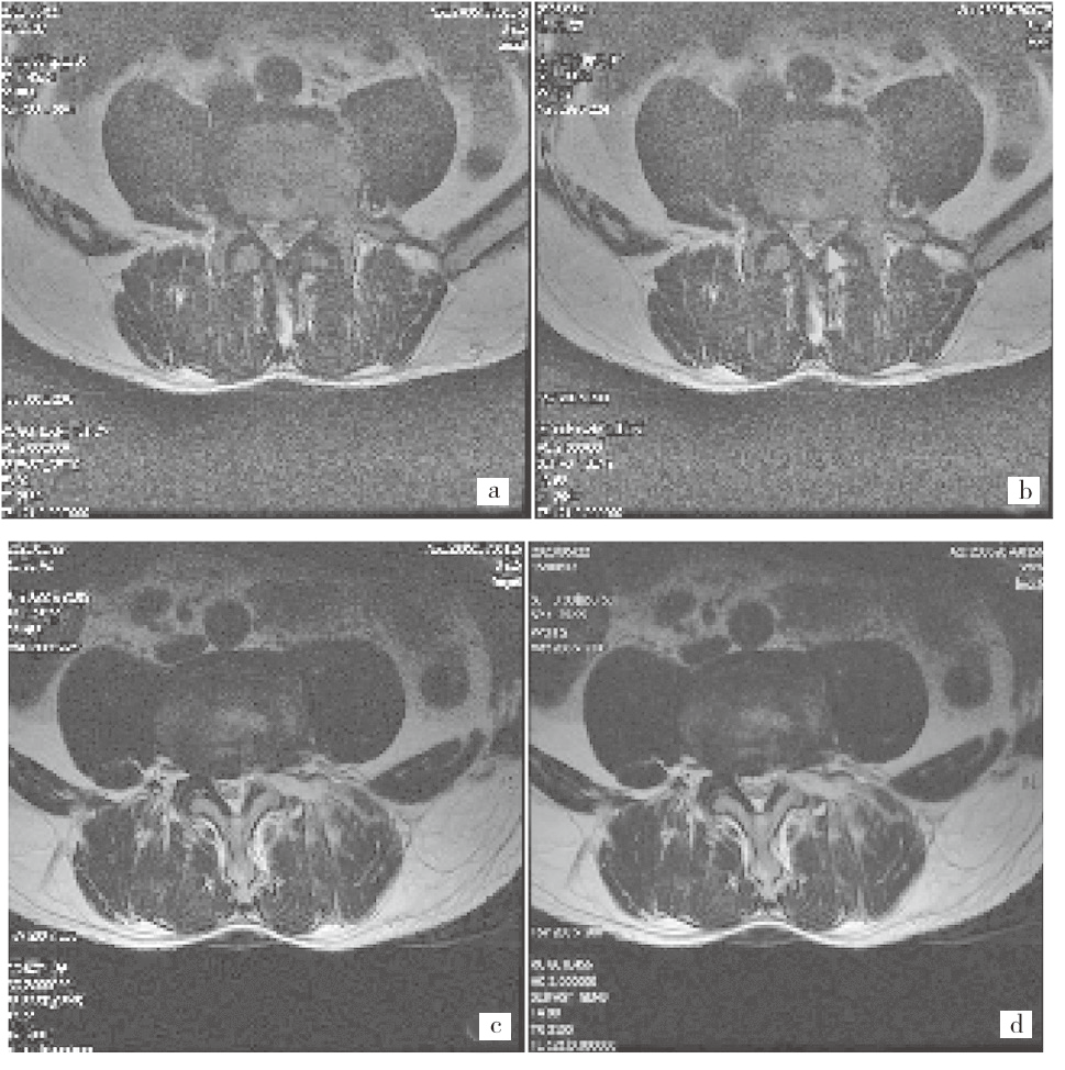
82 例 LDH 患者术前 JOA 评分为(13.64±3.01)分,术后 3 个月 JOA 评分为(26.74±3.25)分。术后 3 个月 LDH 患者的 JOA 评分高于术前(t = 26.779,P < 0.05)。LDH 患者手术前后 MRI 影像学特征见图 1。

注:患者男,47 岁,临床诊断为 LDH。a 为 L4~ 5 椎间盘左后下方脱出,术前椎管径为 0.5 cm;b 为 L4~ 5 椎间盘左后下方脱出;c 为术后椎间盘,椎管径为 1.25 cm;d 为术后 L4~ 5 椎间盘
图 1 LDH 微创消融手术前后 MRI 影像学特征
2.2 两组 MRI 征象比较
术后 3 个月,两组侧隐窝间隙和椎管径均大于术前,且预后良好组的侧隐窝间隙和椎管径均大于预后不佳组(P< 0.05),见表 2。
表 2 两组 MRI 征象比较(cm,x ±s)

注:与同组术前比较,aP< 0.05
2.3 LDH 患者术后侧隐窝间隙、椎管径与 JOA 评分的相关性
术后侧隐窝间隙、椎管径均与 JOA 评分呈正相关(r = 0.460、0.626,P< 0.001)
2.4 术后 MRI 征象预测微创消融术疗效的价值
术后 3 个月,侧隐窝间隙、椎管径联合预测微创消融术预后不佳的效能较高(P < 0.05),见表 3及图 2。
表 3 术后 MRI 征象对微创消融术疗效的预测效能

注:AUC 为曲线下面积

图 2 术后 MRI 征象预测微创消融术疗效的 ROC 曲线
3 讨论
LDH 主要发生在 L5~S1 或 L4~5 节段,发病率约为 2%,其中男性发病率高于女性,可能与体力劳动比例、生理结构及肌肉力量差异等有关 [9]。相比保守治疗,微创消融手术治疗 LDH 患者的效果更直接,其通过微创技术将操作器械置入椎间盘突出部位,利用等离子消融、臭氧消融或胶原酶等消融方式溶解局部突出的椎间盘,从而减轻对神经的压迫,缓解疼痛症状 [10]。但微创消融手术仍存在伤口感染局部结构破坏等风险,且术中可能会损伤患者腰椎骨质,影响腰椎稳定性,从而导致 LDH 反复发作 [11]。
本研究结果显示,82 例 LDH 患者术后平均 JOA评分高于术前(P< 0.05),但术后有 17 例患者预后不佳,说明微创消融手术能显著改善 LDH 患者腰椎功能,但仍有部分患者的改善情况不甚理想或出现复发情况。分析原因为,微创消融手术是通过髓核中心性减压使椎间盘组织(突出或脱出)回缩,但无法完全消除病灶节段的压迫效应,导致患者极易复发 [12-13]。本研究结果显示,术后 3 个月,预后良好组侧隐窝间隙和椎管径均大于预后不佳组(P< 0.05)。分析原因为,术后部分患者在侧隐窝或椎管周围形成瘢痕组织并发生挛缩,侵占了原属于侧隐窝和椎管的空间,从而导致侧隐窝间隙和椎管径狭窄;或手术未能完全摘除突出椎间盘组织,残留的椎间盘组织可能继续突出或发生退变,进而再次压迫侧隐窝和椎管,导致其空间变小,出现狭窄的现象,因此预后不佳患者的 MRI 征象变化相较于预后良好患者不明显 [14-15]。本研究结果显示,LDH 患者术后侧隐窝间隙、椎管径与术后 JOA 评分呈正相关(P< 0.05),说明 LDH 患者术后侧隐窝间隙、椎管径狭窄情况未能改善,会影响术后腰椎功能的恢复。因此,术后可通过 MRI 检测 LDH患者侧隐窝间隙、椎管径帮助临床预测微创消融术疗效。本研究结果还显示,术后 3 个月的侧隐窝间隙、椎管径联合预测 LDH 患者微创消融术预后不佳的效能均较高(P< 0.05),说明隐窝间隙、椎管径联合对微创消融术预后情况有较高的预测价值,侧隐窝间隙、椎管径越狭窄可能表示患者预后效果不佳、容易复发。
综上所述,LDH 患者 MRI 检测中侧隐窝间隙及椎管径变化与微创消融术预后密切相关,且对微创消融术疗效有较高预测价值。
【参考文献】
[1]丹禹钦, 苏佳宁, 丁懿, 等 . 悬吊推拿运动技术对老年腰椎间盘突出症患者恐动症效果的随机对照试验:基于脑 - 骨轴理论 [J]. 中国康复理论与实践, 2024,30( 7):861-868.
[2]李健, 路鹏飞 . 射频消融技术治疗老年腰椎间盘突出症的康复评定及预后分析 [J]. 科技导报,2023,41(23):49-55.
[3]黄磊, 石可松, 焦权明, 等 . G 型臂辅助下等离子射频消融术联合臭氧治疗包容型腰椎间盘突出症的临床观察及其复发的影响因素分析 [J]. 中华损伤与修复杂志(电子版), 2021, 16( 3):232-238.
[4]张志虎, 王超, 郭丽媛, 等 . 极外侧型腰椎间盘突出症 MRI 分析及射频消融手术疗效观察 [J]. 宁夏医科大学学报, 2022, 44( 4):429-432.
[5]徐妍,潘寅兵,孙晓迪 . 低温等离子消融术和射频热凝术治疗腰椎间盘突出症的临床疗效及安全性比较 [J]. 医学研究与战创伤救治,2024,37(9):972-976.
[6]孙天术,袁景华,张敏,等 . MRI 对 CT 引导下椎间孔镜技术治疗腰椎间盘突出症术后效果评估价值研究 [J].中国 CT 和 MRI 杂志,2021,19(4):141-143.
[7]王雷, 李宏九, 李无阴, 等 . 针药结合治疗腰椎间盘突出症开放减压术后残余疼痛的疗效观察 [J]. 中国中医急症, 2022, 31( 7):1245-1248.
[8]中华医学会骨科学分会骨科康复学组, 中国康复医学会脊柱脊髓专业委员会腰椎研究学组, 王岩, 等 .
老年腰椎间盘突出症诊疗指南 [J]. 中华老年骨科与康复电子杂志, 2021, 7( 3):132-139.
[9]周鑫, 赵雄, 曹奔, 等 . 腰椎间盘突出症患者坐立过程的动力学特征 [J]. 医用生物力学,2024,39(2):258-264.
[10]张大兴,杨召强,王少飞,等 . 经皮椎间孔镜下微创技术治疗老年腰椎间盘突出症术后恢复的影响因素分析 [J]. 贵州医药,2022,46(12):1925-1926.
[11]迟鹏飞, 吴兵, 宋凯, 等 . 显微镜辅助腰椎减压融合内固定术治疗复发性腰椎间盘突出症的安全性 [J]. 中国脊柱脊髓杂志, 2024, 34( 4):402-407.
[12]李涛, 胡胜利, 谢维, 等 . 经皮椎间孔镜联合射频臭氧消融术治疗合并高信号区腰椎间盘突出症的临床疗效 [J]. 中国内镜杂志, 2020, 26( 10):5-11.
[13]王晓岚, 李彩红 . 康复护理干预对腰椎间盘突出症患者的临床效果及生活质量的影响研究 [J]. 中国药物与临床, 2021, 21( 11):2002-2004.
[14]赵红梅, 俞璐 . 基于磁共振成像参数和临床特征分析腰椎间盘突出症经皮椎间孔镜椎间盘切除术疗效的影响因素 [J]. 中国内镜杂志,2024,30(9):78-84.
[15]刘高峰, 代志清, 王晴晴, 等 . MRI 联合 CT 检查在腰椎间盘突出症诊断中的应用价值 [J]. 医学影像学杂志, 2023, 33( 7):1316-1318.
内容来源于《医疗装备》杂志,如需转载请注明出处。

欢迎关注《医疗装备》官方公众号